One of the most common complaints doctors hear from patients is knee pain. What causes this pain is not always possible to say immediately. Knees can be affected by various diseases, for example, osteoarthritis of the knee joint. It is also known as gonarthrosis.
Gonarthrosis is a non-inflammatory joint injury that often leads to cartilage destruction, bone deformity, and limitation of movement. This disease has the code M17 in the International Classification of Diseases (ICD-10).

All patients can be divided into two groups. The first group includes young people, more often young men, with damage to one, less often both, knee joints. They have a knee injury or surgery in their medical history.
The second group includes obese, middle-aged or elderly people, most often women, in whom gonarthrosis has developed in several parts of the body at the same time.
Symptoms of Knee Osteoarthritis
The symptoms of knee osteoarthritis gradually increase. Patients may not be aware that they are sick for years until they notice an obvious knee deformity or severe pain.
At the same time, knee joint arthritis in the early stage of the disease is most often accompanied by unpleasant and painful sensations in the knees, and few people seek medical advice.
Women prone to obesity, especially after age 40, are predisposed to this disease.
Varicose veins also contribute to the development of the disease. At this stage, it is possible to treat the disease at home without the use of pills and ointments.
The pain is not sudden, it comes on gradually, over several years. They usually occur during sports, hiking, and other physical activities.
Sharp pain may not be a symptom of gonarthrosis, but a consequence of a tear, meniscus tear, or bruise. It is the intense pain that becomes the motivation to turn to a specialist.
The pain is usually worse in the following cases:
- when walking;
- in long position;
- during the slopes;
- when lifting the body from a sitting position;
- when transporting heavy objects.
During the execution of these actions, the maximum load acts on the joints, so if the patient experiences intense discomfort, then he can already be diagnosed with arthritis of the knee joint of the second stage. The person tries to move less, to take a static position to avoid pain, but as physical activity continues, the discomfort returns.

Deforming osteoarthritis of the knee joint accompanies a symptom such as deformity. It becomes noticeable already in the second or third stage of the disease. His first signs: the knee was slightly swollen, but it kept its shape. In later stages, there is a change in the shape of the knee, making a leg shorter or longer.
One of the most characteristic symptoms is a crisis in the joints, noticeable in the second and third stages. The main thing is to distinguish the sound grinding in the joints of a healthy person from the dull, dry grinding of the patient. This sound causes weakness of the ligament apparatus or high mobility of the joints.
To ensure immobility of the knee joint, the use of knee braces is recommended.
forms of gonarthrosis
There are two forms of the disease:
- Primary: Appears as a result of congenital abnormal development of the joints.
- Secondary: Appears as a result of illness and injury.
The primary form of knee joint osteoarthritis usually develops in childhood and is caused by improper formation of ligaments and joints. They are subjected to heavy loads and deformed during physical activity.
The secondary form of the disease is caused by the following factors:
- Injuries (bruises, sprains, dislocations, fractures), which lead to violations of the structure of bones, ligaments and cartilage. All this is a post-traumatic form of the disease.
- Operations when the meniscus is dislocated violate the integrity of the knee structure.
- Too much load on the legs (typical for weightlifters).
- Obesity. Excess weight puts pressure on the cartilage of the knee joints.
- Passive lifestyle.
- Diabetes.
- Was.
- Arthritis (inflammatory process in joints). Prolonged disease is accompanied by the formation of excess fluid in the joint cavity and causes complications.
- Metabolic disorders lead to deposition of salts.
- knee transplant.
- Diseases that cause prolonged leg muscle cramps or vasospasm.
The development of the disease can be unilateral or bilateral. Trauma usually causes left-sided or right-sided gonarthrosis, and obesity is bilateral.
stages of the disease
There are three stages of gonarthrosis:
- From the onset of the first stage to the visible manifestations of the disease, it can take several months or even years. The person complains of intermittent pain in the legs, especially when going up or down stairs and when getting out of bed in the morning. The photos often show a tightening of the connection between the joints, and, as a rule, instead of going to the doctor, patients use traditional medicine - ointments and tinctures.
- The second phase is characterized by more acute pain, which does not stop with limb immobility. A crisis appears. The fluid accumulates in the joint cavity, the X-ray shows the deformation and growth of the bone. The patient at this stage tries in every possible way not to move the affected limb. The attending physician prescribes injections and chondroprotectors - drugs that help restore cartilage tissue.
- In the last third phase, the pain becomes constant and often worsens with changing weather conditions. The radiograph shows a significant deformity of the knee, which can only be corrected with surgery, the patient must take a chondroprotective complex. The patient's gait changes: he walks with his legs half bent or rolls from side to side.
Causes of the disease. Groups of risk
Overweight
Most often, osteoarthritis deformans affects the elderly. In a special risk group are women who are overweight after 40 years. The probability of pathology in obese people is 4 times greater than in people with normal body weight. The pattern is simple: the greater a person's weight, the faster the disease develops and the more severe it is. In this case, the form of the disease can be called acquired. It is the joints of the lower extremities that fall under the blow, because they are forced to bear the greatest load.
Overweight people also face hormonal imbalances and metabolic disorders, which contribute to the development of obesity and osteoarthritis.
Was
Older people can be called people who have reached the age of more than 60-65 years. In this population, osteoarthritis occurs in 65-85 percent of people.
The reason is age-related changes that negatively affect the structure of joints. Even ordinary walking can become a significant burden and encourage the development of the disease, while the worn-out cartilage can no longer heal on its own.
Congenital pathologies and hereditary factors
The disease can affect both young people and those who are not overweight. As a rule, in such situations, the disease occurs due to congenital defects of the knee joints, for example, lack of intra-articular lubrication. Heredity also plays an important role.
However, most patients who suffer from knee pain are people of respectable age. Osteoarthritis is rare among young people. Unfortunately, young patients do not always receive the necessary treatment, as not all doctors consider it necessary to give them the necessary attention.
high loads
People who earn a living from strenuous physical work and athletes of various levels are also at risk of suffering from osteoarthritis of the knees. In this case, the disease becomes an occupational pathology.
Operations, injuries and other illnesses
Surgery, trauma, various diseases of the joints can provoke the appearance of gonarthrosis.

When the cause remains unknown, osteoarthritis of the knee joint is commonly called idiopathic.
Diagnosis of osteoarthritis of the knee joint
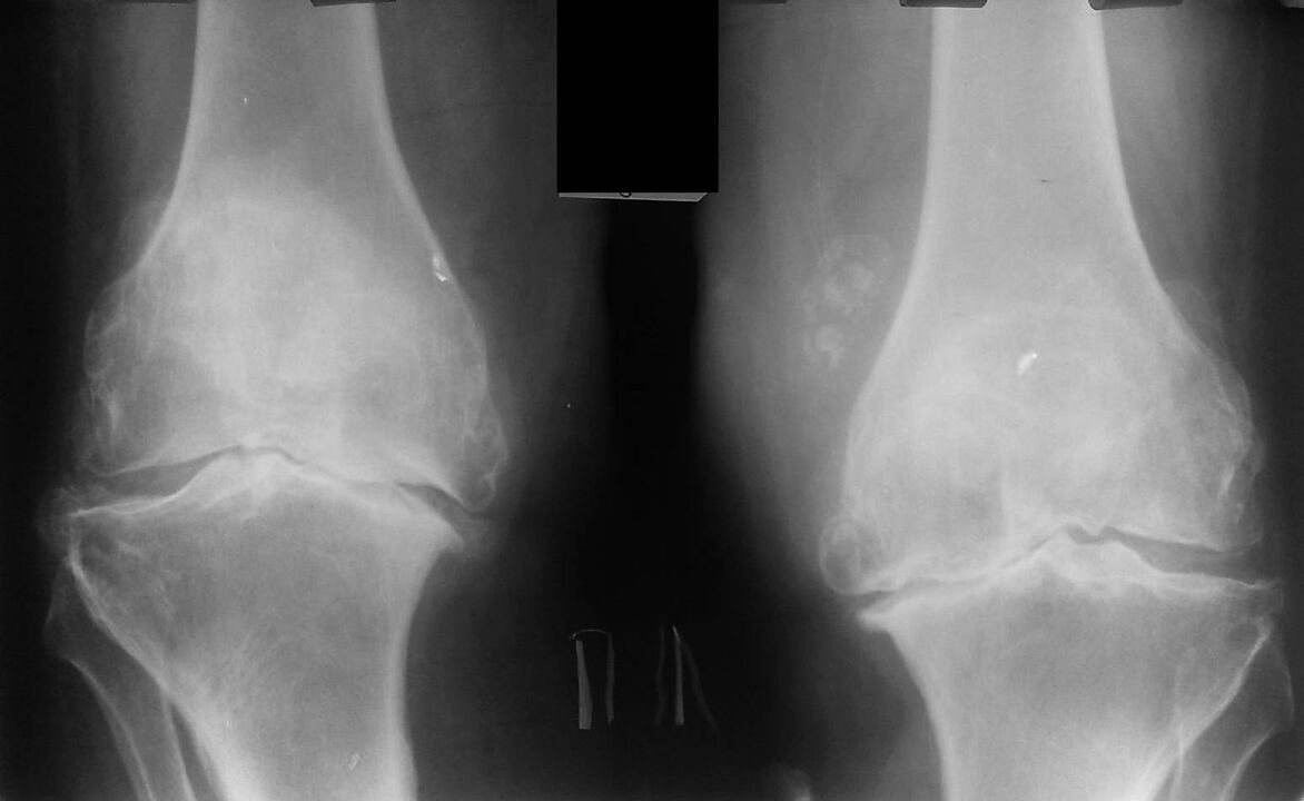
This diagnosis is made based on the patient's complaints, examination data, palpation of the diseased joint and X-ray examination.
Radiography is a standard research method that allows you to confirm the diagnosis, establish the degree of pathological changes, monitor the dynamics of the process, and also exclude other pathological processes (eg tumors) in the tibia and femur .
It should be noted that primary changes in knee joint structures on radiographs may be absent. Subsequently, joint space narrowing and subchondral zone compaction are determined. The joint ends of the femur and especially the tibia expand, the edges of the condyles become sharp.
Auxiliary diagnostic methods are CT (computed tomography) and MRI (magnetic resonance imaging), which allow a more detailed study of pathological changes in bone structures and identify changes in soft tissues.
How to treat knee joint gonarthrosis
The more acute the stage of the disease, the more complex the treatment of gonarthrosis becomes. The chronic nature of the pathology can remain in the remission phase, when the active manifestations of the disease are minimized or completely absent.

Physiotherapeutic treatment in combination with chondroprotective drugs gives positive results.
Treatment options include:
- drug therapy (chondroprotectors);
- surgical intervention;
- rehabilitation course (exercise therapy, massage, etc. ).
drug treatment
With drug therapy, the use of non-steroidal analgesics is prescribed. These medications help relieve the pain and symptoms of synovitis (inflammation). If the pain is especially severe or the synovium of the knee joint is severely inflamed, corticosteroids may be used. These medications have a more powerful analgesic and anti-inflammatory effect than non-hormonal pain relievers. Muscle relaxants and antispasmodics will help the periarticular muscles get rid of spasms.
Antioxidants and vasodilators improve cartilage nutrition. The main drugs for the conservative treatment of the disease are chondroprotectors that contain chondroitin and glucosamine sulfate (natural components of cartilage).
The use of pathogenic drugs must be systemic and prolonged.
Physiotherapy
Physiotherapy treatment methods (UHF, ultrasound or phototherapy) are considered additional means of accelerating the healing process.
They also include:
- Acupuncture. This method relieves muscle spasm near the affected joint, normalizes the metabolic processes in them, thereby restoring damaged cartilage tissues.
- Hirudotherapy. Treatment with leeches has the same effect as injections as it improves blood circulation.
- laser therapy. Such procedures relieve inflammation, swelling, improve metabolism and counteract pain.
- Cryotherapy. Both liquid nitrogen treatment and regular ice at home are effective.
- Magnetotherapy. The influence of the magnetic field not only improves blood circulation in the tissues, but also relieves swelling and inflammation.
- Electro-stimulation. With the help of micro-discharges of current of different frequencies, the muscles are restored and strengthened and the blood circulation in the limbs improves.
Treatment of knee gonarthrosis with physical therapy is effective as it reduces pain. The attending physician usually prescribes such treatment according to the stage of the disease.
Physiotherapy
Exercise therapy for osteoarthritis of the knee joint is one of the main means of restoring atrophied muscles and should be carried out very carefully and slowly. If the patient feels that the pain is returning, the exercise should be stopped.

During therapeutic exercises, it is necessary to use special knee braces. The rehabilitation course also includes the use of these orthopedic devices, their aim is to reduce the load from the affected knee to the cane or prosthesis. Patients with gonarthrosis are often prescribed to wear knee braces to relieve pain when walking.
Therapeutic gymnastics for gonarthrosis reduces the load on the damaged joint, developing the leg muscles. Exercises that overload the joint are strictly contraindicated. Water gymnastics and swimming are ideal activities.
orthopedic therapy
To reduce the load on the affected joints, the patient must use a cane. A good helper for knee osteoarthritis is orthopedic shoes that provide a natural foot position and even load distribution.
Massage
Massage relieves muscle spasms, reducing pain and increasing range of motion. This procedure also improves blood circulation and provides nutrients to the joint.
Surgical intervention
A pronounced decrease in work capacity (especially up to 45 years) requires surgical treatment. The choice between corrective (removal of osteophytes) and radical (knee replacement) treatment methods depends on the stage of the disease, the patient's age, symptoms, and other factors.
Nutrition
As for the special diet for gonarthrosis, it is most often aimed at reducing the patient's weight, as excess weight leads to overloading of the joints. It is recommended to eat small meals every 3 hours, eat lean meat (chicken, turkey, rabbit) and exclude fatty pork and get the necessary proteins from legumes.
Refined oil should be replaced with unrefined oil, salt intake should be limited. The therapeutic diet also implies the rejection of canned, fried and smoked foods. To restore destroyed cartilage, it is necessary to supply the body with carbohydrates, which are found in cereals and whole-grain flour.
Also, it is recommended to drink freshly squeezed juices such as carrots, beets and apples to remove toxins and reduce inflammation in the body.
Various fish and jellies act as chondroprotectors and help to restore cartilage not only in the early stages, but also during periods of exacerbation.
Folk methods of treatment
There are many ointments, compresses, tinctures that are used by lovers of traditional medicine. These remedies are usually made from herbs, medicinal bile and help to improve circulation in the joints.
Compresses and ointments also relax the muscles, their effectiveness is very high, but in the third stage of gonarthrosis without the use of drugs, they are practically useless.
Traditional medicine should not be neglected as it helps to relieve discomfort and reduce many of the symptoms of the disease. But in any case, you should consult a doctor and not self-medicate.
There are contraindications, it is necessary to consult a specialist.
Prevention
It is recommended to follow the following principles of a healthy lifestyle:
- Balanced diet;
- giving up bad habits (smoking, alcohol);
- Sports;
- maintain a healthy weight;
- prevention of sports injuries (bruises, dislocations, fractures).
Knee osteoarthritis has several treatment options depending on the age and physical condition of the patient. To prevent and control the disease in the early stages, sport is necessary, as well as timely treatment.



















